본문 바로가기 주메뉴 바로가기

우리산부인과 소개

산모와 아기를 소중히 생각하는
우리산부인과 입니다.

산과

산모와 아기를 소중히 생각하는
우리산부인과 입니다.

부인과

산모와 아기를 소중히 생각하는
우리산부인과 입니다.

이용안내

산모와 아기를 소중히 생각하는
우리산부인과 입니다.

검진 및 예방접종

산모와 아기를 소중히 생각하는
우리산부인과 입니다.

커뮤니티

산모와 아기를 소중히 생각하는
우리산부인과 입니다.

복강경센터

우리산부인과

는 단일공복강경 수술 전문 산부인과입니다.
단일공복강경수술이란?
정의
한 개의 배꼽을 통해 3~4개의 복강경 기구를 사용하여 복강내 장기를 수술하는 것 입니다.
장점과 단점
■ 장점
1. 흉터가 하나이며 보이지 않습니다.
2. 배꼽 절개 후에 복강내부를 보며 복강경 삽입구 (Port)을 삽입하므로 배꼽 밑에 장기를 손상할 가능성이 아주 적습니다.
(3-port복강경수술에서는 처음 port를 배꼽에 삽입 시 배꼽 밑 장기를 보지 못하고 삽입하므로 배꼽 밑 장기 손상 가능성이 약간 있습니다)
3. 근종제거술시 근종을 bag 담아 배꼽 절개 부위로 근종을 제거하므로 근종 파편이 복강 내 남을 가능성이 없습니다.
(3-port근종제거술시에는 근종을 bag에 담지 못하고 근종을 제거하므로 근종의 작은 파편이 복강 내 남아 있을 수 있습니다)
■ 단점
1. 수술자의 고도의 술기가 필요합니다.
2. 시간이 많이 소요됩니다.
개복수술VS기존 복강경수술VS단일공복강경수술 비교
수술 가능한 질환
대부분 모든 부인과 수술에 적용이 가능합니다.
[자궁근종 절제술]
근종만 제거하여 원래 자궁의 모습으로 복원합니다.
[자궁적출술]
다발성 자궁근종으로 모든 혹을 제거하기 어려운 경우, 자궁선근종 (자궁내막증), 자궁을 보존하는 것을 원하지 않는 경우 등
[난소난종절제술]
난소낭종만 제거하여 난소기능을 최대한 보존합니다.
[난소제거술]
폐경된 여성에서 난소종양수술, 난소종양이 너무 큰 경우, 난소종양의 모양이 안 좋은 경우에서는 난소를 제거하여 혹의 재발을 예방합니다.
[자궁외임신수솔]
자궁근종
자궁근종은 ?
자궁내 근육층의 평활근에서 발생하는 근육혹입니다. 사춘기 전에는 드물며, 생식기간 동안 가장 잘 생기고, 폐경이 되면 줄어듭니다. 몇mm짜리 아주 작은 근종까지 포함하면 35세 정도에 40-50%, 50세에 70-80%가 자궁근종을 갖고 있을 정도로 아주 흔한 근육혹입니다. 그러나 대부분은 작고 증상이 없어 초음파 시행 중 우연하게 발견되는 것이 대부분입니다.
증상은 ?
  • 대부분 증상이 없습니다.
  • 생리과다 - 생리과다는 자궁근종 크기와 연관이 있고 특히 5cm이상에서 심해집니다.
  • 통증 - 성교통, 비규칙적 골반통, 생리통의 발생율이 증가합니다.
  • 비뇨기 증상 - 빈뇨, 절박뇨 등의 빈도가 증가합니다.
  • 난임
근종의 분류
점막하 근종 0,1,2
근층내 근종 3,4
장막하 근종 5,6,7
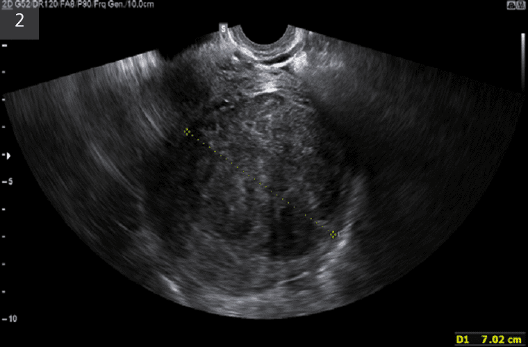
근종의 진단은 ?
근종은 질식초음파로 쉽게 진단이 가능하며, 점막하 근종을 진단하기 위해서 식염수주입 초음파, 자궁내시경으로 진단합니다. 보조진단으로 CT, MRI를 사용합니다.
질식초음파로 진단된 자궁근종
근종의 치료
  • 추적검사 – 증상이 없고 크기가 5cm미만 작은 근종은 6개월 마다 주기적으로 검사합니다.
  • 내과적 치료 – 크기가 작으나 증상이 있는 경우 또는 수술를 하여야 하나 내과적 질환 또는 개인적 사유로 수술을 지연하여야 하는 경우입니다.
    ■ 진통제
    - 장점 : 통증 및 생리양을 감소시킵니다.
    - 단점 : 매달 2-4일간 복용하여야 합니다.
    ■ 피임약
    - 장점 : 배란을 억제하여 통증 및 생리양을 감소시킵니다.
    - 단점 : 매일 복용하여야 합니다.
    ■ 미레나
    - 장점 : 한 번 시술로 5년간 통증 및 생리양을 감소시킬 수 있습니다.
    - 단점 : 혹이 있는 경우, 자연히 빠질 확률이 증가하고 혹의 크기에 변화를 주지 못합니다.
  • 수술적 요법
    ■ 자궁근종제거술 : 자궁근종만 제거하고 자궁은 보존합니다.
    ■ 고주파 자궁근종 용해술 : 자궁근종 부피를 줄여주고 증상을 완화시켜줍니다.
    ■ 자궁동맥색전술 : 재발율이 29%입니다.
    ■ HIFU(하이푸) : 고가이며 3시간 이상 치료시간이 소요되며, 근종 가까이에 있는 장기가 손상을 받을 수 있습니다. 근종을 제거하지 못하고 부피만 줄여줍니다.
    ■ 자궁적출술 : 8cm 이상 큰 근종 및 여러 개 근종이 있을 때 시행합니다.
자궁선종
자궁선종 (자궁의 자궁내막증)?
자궁내막조직이 전체 자궁벽 또는 자궁벽의 일부에서 자궁 근육층내로 파고 들어가 자궁벽을 두껍게 하여 자궁이 커지게 됩니다. 가끔 근종과 혼동되기도 하며 근종과 동반되어 나타나기도 합니다.
증상은 ?
  • 많은 경우 증상이 없습니다.
  • 생리과다 및 오랜 기간 생리
  • 생리통 – 심한 경우 생리하기 2주 전부터 시작하여 생리 끝난 후에도 사라지지 않습니다.
  • 성교통
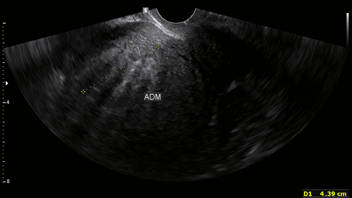
진단은 ?
초음파로 진단하나 근종과 달리 경계가 명확하지 않아 간혹 진단에 어려움이 있으며 자궁이 커져 있으며 증상이 있으면 쉽게 진단할 수 있습니다.
질식초음파로 진단된 자궁선종
치료는 ?
  • 관찰 - 증상이 없고 크기가 작은 경우 6개월마다 주기적으로 관찰합니다.
  • 내과적치료 - 크기가 작으나 증상이 있는 경우 또는 수술을 하여야 하거나 내과적 질환 또는 개인적 사유로 수술을 지연하여야 하는 경우입니다.
    ■ 진통제
    - 장점 : 통증 및 생리양을 감소시킵니다.
    - 단점 : 매달 2-4일간 복용하여야 합니다.
    ■ 피임약
    - 장점 : 배란을 억제하여 통증 및 생리양을 감소시킵니다.
    - 단점 : 매일 복용하여야 합니다.
    ■ 미레나
    - 장점 : 한 번 시술로 5년간 통증 및 생리양을 감소시킬 수 있습니다.
    - 단점 : 혹이 있는 경우, 자연히 빠질 확률이 증가하고 혹의 크기에 변화를 주지 못합니다.
  • 수술적요법
    ■ 고주파용해술 : 자궁을 보존하기 원할 때 시행하며 증상을 완화하고 크기를 줄여줍니다.
    ■ 선종제거술 : 자궁보존을 원하고 선종이 국소적으로 있을 때 시행합니다.
    ■ 자궁적출술 : 선종이 자궁전체에 넓게 퍼져있고, 자궁보존을 원하지 않을 때 시행합니다.
자궁보존술
· 우리산부인과는 단일공복강경하 자궁근종 제거술을 시행하는 전문병원 입니다.

· 대부분 여성은 자궁근종 진단시 치료방법으로 자궁적출술을 권하면 자궁이 없어진다는 허전함에 여성상실감과 불안감을 호소합니다. 때로는 수술을 기피하거나 자궁보존을 원하는 수술 및 시술을 찾습니다. 그러나 많은 병원에서는 자궁보존술보다 자궁적출술을 더 선호합니다.
복강경하자궁근종제거술과 복강경하자궁적출술의 수술방법의 차이
복강경하 자궁근종제거술시에는 작은 공간 내에서 근종을 제거하고 제거부위를 봉합합니다. 따라서 자궁을 자르기만 하는 자궁적출술 보다 숙련된 기술과 노력이 필요하며, 수술시간도 더 소요됩니다. 특히 단일공복강경하 근종제거술은 기존복강경수술보다 고도의 기술이 필요하고 시간이 더 소요되므로 많은 병원들은 시행을 못합니다.

우리산부인과는 여성 보호를 위한 자궁보존 치료를 기본으로 하기에 자궁적출 대신 ‘단일공복강경하 근종제거술’ 을 시행하는 전문 병원 입니다.
자궁내시경
자궁내시경(자궁경) 이란?
자궁내막 손상 없이 폴립 및 자궁 점막하 근종을 치료하는 수술법으로 자궁내시경을 의미합니다. 내과에서 시행하는 위내시경과 유사한 원리의 술식입니다. 우리산부인과에서는 자궁내막 혹이 의심되는 경우 크기에 상관없이 자궁내막의 손상을 최소화하며 특수 장비가 달린 자궁내시경을 삽입하여 자궁내막 혹을 선택적으로 치료합니다.
자궁소파술VS자궁경 비교
한 눈에 확인하세요.
자궁소파술 자궁내시경(자궁경)
수술방법 진공흡입기에 연결된 플라스틱 카테터를 자궁강 안에 삽입하여 자궁 안을 보지 못하고 자궁내막을 흡입함 자궁경을 삽입하여 자궁강 안을 보면서 내막조직 손상 없이 폴립(용종), 점막하 근종을 제거함
단점 ·광범위한 자궁내막손상
·내막폴립 – 40%만 제거
·점막하근종 – 제거 안됨
·가격이 비싸다
·출혈이 있을 때 수술 못함
장점 ·가격이 싸다
·출혈이 있을 때 수술가능
·자궁내막손상 적음
·자궁내막폴립제거-100%
·점막하근종 제거
난소종양
'우리산부인과' 난소종양의 기본수술은 난소보존술(혹만 제거하는 수술)입니다. 복강경하 난소종양 제거수술 및 유착박리술을 잘합니다.
난소종양 이란?
난소 종양이란 난소에 생긴 혹을 말합니다. 그림을 보시는 것처럼 기능성 난소종양, 종양성 난소종양으로 구분됩니다.
기능성 난소낭종
기능성난소낭종은 무엇일까요? 난소는 난포를 배출하고 여성 호르몬을 만드는 역할을 합니다. 이때 난소에서 생리 주기에 맞춰 한 달에 한번 난포가 성숙되어 난자를 배출하는 '배란' 과정이 발생하는데 배란 과정에서 난포가 배란되지 못하고 액체가 계속 차거나 배란 된 후 난포가 있던 부위에 액체 또는 피가 차서 생기는 경우 난소낭종이 됩니다. 이러한 낭종은 2~3개월 후에 대부분 낭종이 소실됩니다. 양성 난소종양의 경우 대부분 무증상이나 난소염전 (난소가 꼬이는 것), 난소 파열 시에는 심각한 통증이 야기되고 응급 수술이 필요할 수 있어 조기에 발견하는 것이 중요합니다.
난소낭종 구분
액체로만 차 있는 난소낭종은 기능성과 종양성으로 구분됩니다. 기능성낭종은 자연 소실되나 종양성 난종은 수술이 필요합니다. 그러므로 불필요한 수술을 피하기 위해서는 낭종을 구분하여야 합니다. 그러나 초음파상으로 두 낭종을 구분하기가 힘듭니다. 종양성 낭종은 처음 초음파 시 크기가 6cm이상이거나, 6cm 미만인 경우 3개월을 기다려 크기가 줄지 않은 경우입니다.
난소낭종 치료가 필요한 경우
다음 항목에 해당되는 경우 난소낭종의 치료가 필요합니다.
복부팽창, 하복부 압박감등 증상이 있는 경우, 난소염전 (난소가 꼬여서 심한 통증을 유발), 난소파열(난소가 터져 액체가 복막강을 자극하여 통증 유발), 종양성 낭종 입니다.
종양성 난소종양의 진단
종양성 난소종양의 진단은 다음과 같습니다.
초음파를 시행하여 난소 혹을 진단합니다. 초음파상 난소 혹 안이 완전 고형체(살혹)거나 부분 고형체(부분 살혹) 인 경우 종양성 난소종양으로 진단합니다. 초음파상 난소혹이 액체로만 차 있으나 크기가 6cm이상이라면 종양성 난소종양으로 진단합니다. 초음파상 난소낭종이 6cm미만이면 3개월을 기다린 후 크기 변화를 확인하여 크기가 줄지 않으면 종양성 난소낭종으로 진단합니다. 종양성 난소종양이 진단되면 종양표지물 검사 (CA125, CA19-9, AFP, CEA, HE4) 와 정밀 초음파 (칼러 및 도플러 초음파)을 시행하여 양성과 악성종양을 구분합니다.
난소 수술 방법
난소종양의 수술 방법은 다음과 같습니다.
난소 제거술은 악성 난소암, 양성난소종양 중 크기가 너무 큰 경우 또는 초음파상 혹 구조가 복잡한 경우 사용됩니다. 난소종양제거술은 양성난소종양에 사용됩니다. 우리산부인과는 난소기능을 최대한 보존하고자 난소종양만 제거하는 수술 전문병원입니다. 복강경 여부에 따른 수술 방법은 다음과 같습니다. 개복수술, 복강경수술, 단일공 복강경수술이 있습니다. 우리산부인과는 단일공복강경 전문수술병원입니다.
단일공 복강경 수술 전문 병원
인천 우리산부인과에서는 단일공 복강경 수술 전문 산부인과이자 난소종양치료의 원칙을 지키며 난소종양만을 제거하는 난소 보존술을 진행하고 있습니다. 인천 우리산부인과를 통해 소중한 난소의 건강을 지켜보시기 바랍니다.
난소종양 치료, 난소보존술로 난소의 건강을 지키는 인천 우리산부인과와 함께하세요!
[단일공복강경수술 자세히 보기]